Spontaneous Rupture of the Spleen: A Case Report and Review of the Literature
Article Main Content
Non-traumatic ruptures of the spleen are rare, difficult to diagnose and potentially fatal. Infectious etiologies (dominated by infectious mononucleosis and malaria) and hematological diseases (dominated by hematological malignancies) alone account for over half of all cases. Symptoms are usually acute, but progressive forms are also possible.Mortality is high (around 20%), resulting from both pre-diagnostic and post-operative deaths, probably favored by a delay in management and/or the severity of the underlying pathology. We report the case of a 61-year-old chronic smoker who presented with a non-traumatic rupture of the spleen.
Introduction
Non-traumatic or spontaneous ruptures of the spleen are rare but potentially fatal [1]. Mortality in this condition is essentially linked to delays in diagnosis and treatment, as well as to risks associated with the terrain and severity of the underlying pathology [2], [3]. They can occur either on a macroscopically healthy spleen [3], [4] or on a pathological spleen, such as a tumor [5], [6]. There have been a few reports of spontaneous hematomas occurring at a distance from a sometimes-minimal trauma [7], [8]. Splenic rupture is often overlooked in the differential diagnosis of abdominal pain in the absence of trauma, and in most cases requires splenectomy for treatment [4], [9]. The first cases of atraumatic splenic rupture were reported by Rokitansky [10] and Atkinson [11].
Patient and Observation
We report the case of a patient aged 61 years old, known as a chronic smoker with 30 pack-years. His symptomatology started 3 days before admission with generalized abdominal pain associated with biliary vomiting with no other associated signs. Clinically, the patient was conscious, with a Glasgow score of 15/15, hemodynamically stable (BP: 110/70 mmHg) (HR: 78 beats/min) and respiratory (RR = 18 breaths/min). Abdominal examination revealed a generalized abdominal tenderness, the rectal examination was unremarkable, and the rest of the somatic examination was unremarkable.
A biological check-up revealed anemia: Hemoglobin: 9.2 g/dl, hyperleukocytosis WC: 19790/mm3, normal platelets: 177000/mm3 and a high CRP: 24 mg/L.
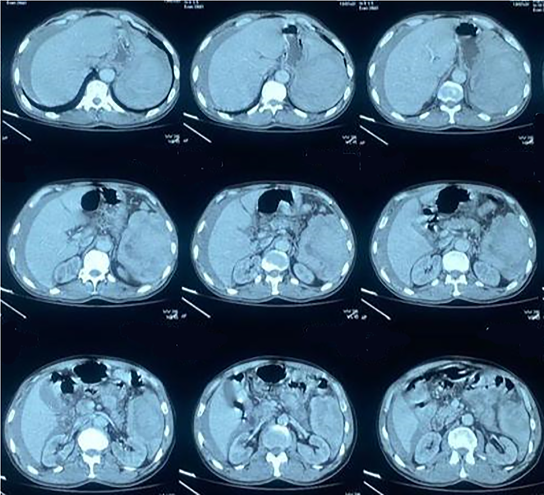
The patient had an abdominal ultrasound, which showed the presence of a heterogeneous echogenic formation in the left hypochondrium with regular contours. It was poorly limited and non-vascularized on Doppler and was of adrenal or splenic origin. An abdominal CT scan (Fig. 1) showed a splenic hematoma associated with a dense intraperitoneal effusion of moderate to large volume and a ruptured splenic hematoma with uncomplicated vesicular lithiasis.
Fig. 1. Abdominal CT showing the ruptured spleen with intraperitoneal effusion.
The patient underwent emergency surgery by median laparotomy, in which the exploration showed the presence of an extensive hemoperitoneum, a ruptured spleen on the diaphragmatic surface with active bleeding (Fig. 2) and the presence of two supernumerary spleens in the greater omentum measuring 1 cm and 0.5 cm (Fig. 3) associated with cholelithiasis for which the patient had a splenectomy (Fig. 4) associated with a cholecystectomy and a drainage of the left hypochondrium and sub-hepatic by 2 Salem tubes.
Fig. 2. Intra-abdominal view of the ruptured spleen.
Fig. 3. The two supernumerary spleen.
Fig. 4. Ventral and dorsal face of the spleen after the resection.
The patient received pneumococcal and meningococcal vaccinations and antibiotic prophylaxis (oracillin), and the post-operative follow-up was straightforward; total hospital stay was four days. The anatomopathological examination of the surgical specimen revealed a subcapsular hematoma with spleen fracture with no signs of malignancy.
Discussion
Spontaneous splenic rupture is a rare disease that was first documented in the 19th century. Many causes are responsible of this phenomenon including infectious (e.g., malaria and glandular fever) [12], gastrointestinal (e.g., pancreatitis) [13], hematological (e.g., Hodgkin’s lymphoma) and systemic (e.g., sarcoidosis), it may be treatment-related including the use of anticoagulants and antiplatelet agents [14], [15]. It has a male predominance, and the mean age in the largest series was 45 years, with a mortality rate between 12% and 20% [16], [17].
Many theories have been proposed in the pathophysiology of spontaneous splenic rupture. We can mainly retain increased intrasplenic tension due to congestion, vascular anomalies, enzymatic digestion of the splenic capsule or minimal trauma [15].
Spleen rupture is favored by a splenic infiltrate. It may be aggravated by antiplatelet agents or anticoagulants but may occur spontaneously or after a minor trauma. The risk of complete splenic rupture with hemoperitoneum and shock, which can occur secondarily, has long justified splenectomy [18].
The diagnosis of splenic rupture is challenging. It may be revealed by a left upper quadrant pain and hemodynamic instability. Left shoulder-tip pain resulting from diaphragmatic irritation (Kehr’s sign) is reported in approximately 50% of cases [16].
Radiology is the key to suggesting the diagnosis; ultrasound is the first imaging to demand its low specificity. CT scan is the key test to make the diagnosis and grade the splenic injury. The most common finding on CT is splenomegaly with splenic lacerations and intraperitoneal or subcapsular bleeding [19]. The grading system is from I to V based on CT findings, according to the AAST. This scale considers the size of the splenic laceration and associated hematoma as well as any hilar involvement [16], [17].
Management of SSR primarily depends on the patient’s hemodynamic stability. The decision to perform a splenectomy, as opposed to spleen-preserving procedures, is guided by the hemodynamic condition of the patient [15]. Conservative management is adapted for hemodynamically stable patients with low-grade injuries (I–II). Surgical intervention is warranted in cases of ongoing hemorrhage or hemodynamic instability. High-grade (IV–V) injuries generally require splenectomy. Conservative management requires close monitoring in a special care unit and transfusion of blood and plasma according to the hemodynamic state and biological parameters. Even patients with high-grade splenic injuries may be managed conservatively if they are hemodynamically stable [19].
In the case of splenectomy, post-operative care is important. Patients need close monitoring with transfusion. If necessary, vaccination should be given 14 days after the surgery. It may cover pneumococcus, haemophilus influenza and meningococcus [20]. Oral antibiotic prophylaxis is proposed for patients at the most risk of overwhelming post-splenectomy infection in the first two years post-splenectomy [21].
Conclusion
Spontaneous rupture of the spleen is a rare entity whose diagnosis is difficult in the absence of a traumatic context and can be life-threatening. Ultrasound and CT scans help to orient the diagnosis, and treatment is essentially surgical by splenectomy.
References
-
Abbadi SE, Rhouni FZ, Jroundi L. Spontaneous rupture of the spleen: about a case and review of the literature. Pan Afr Med J. 2017;27:62.
DOI |
Google Scholar
1
-
Debnath D, Valerio D. A traumatic rupture of the spleen in adults. J R Coll Surg Edinb. 2002 Feb;47(1):437–45.
Google Scholar
2
-
Schwarz M, Zaidenstein L, Freud E, Neuman M, Ziv N, Kornreich L, et al. Spontaneous splenic rupture in infectious mononucleosis: conservative management with gradual percutaneous drainage of a subcapsular hematoma. Pediatr Surg Int. 1999;15(2):139–40.
DOI |
Google Scholar
3
-
Farley DR, Zietlow SP, Bannon MP, Farnell MB. Spontaneous rupture of the spleen due to infectious mononucleosis. Mayo Clin Proc. 1992;67:846–53.
DOI |
Google Scholar
4
-
Massarweh S, Dhingra H. Solitary splenic metastasis in lung cancer with spontaneous rupture. J Clin Oncol. 2001;19:1574–5.
DOI |
Google Scholar
5
-
Marsepoil T, Letessier G, Blin F, Belotte F, Venutolo F. Diagnosis of ruptured spleens during bacterial endocarditis: a case and literature review. Cœur. 1986;17:117–20.
Google Scholar
6
-
McDonald CC. Delayed splenic hematoma rupture. Am J Emerg Med. 1995;13:540–2.
DOI |
Google Scholar
7
-
Deva AK, Thompson JF. Delayed rupture of the spleen 5 1/2 years after conservative management of traumatic splenic injury. Aust N Z J Surg. 1996;66:494–5.
DOI |
Google Scholar
8
-
Lam CM, Yuen ST, Yuen WK. Hemoperitoneum caused by spontaneous rupture of a true splenic cyst. Hepatogastroenterology. 1998;45:1884–6.
Google Scholar
9
-
Rokitansky KF. Two recent cases of spontaneous rupture of the spleen [Zwei Fälle von spontaner Zerreissungder Milz aus der neuesten Zeit]. Wochenblatt der K.K. Gesellschaft der Ärzte zu Wien. 1861;17:42–4.
Google Scholar
10
-
Atkinson E. Death from Idiopathic Rupture of the Spleen. Brit Med J. 1874;2(717):403–4.
DOI |
Google Scholar
11
-
Papp C, Debord T, Imbert P, Lambotte O, Roué R. Rupture de rate au cours des maladies infectieuses: splénectomie ou traitement conservateur? À propos de trois cas. Rev Med Interne. 2002;23:85–9.
DOI |
Google Scholar
12
-
Habib E, Elhadad A, Slama JL. Diagnostic et traitement des ruptures spléniques au cours des pancréatites. Gastroenterol Clin Biol. 2000;24:1229–32.
Google Scholar
13
-
Aubrey-Bassler FK. Sowers N. 613 cases of splenic rupture without risk factors or previously diagnosed disease: a systematic review. BMC Emerg Med. 2012;12:11.
DOI |
Google Scholar
14
-
Alyaseen EM, Hantol NA, Alyousef JA, Alanazi BS, Alghamdi R. Spontaneous splenic rupture in a young patient: a comprehensive case report and literature review. Cureus. 2024;16(5):1–6.
DOI |
Google Scholar
15
-
Liu J, Feng Y, Li A, Liu C, Li F. Diagnosis and treatment of atraumatic splenic rupture: experience of 8 cases. Gastroenterol Res Pract. 2019;2019(1):5827694.
DOI |
Google Scholar
16
-
Renzulli P, Hostettler A, Schoepfer AM, Gloor B, Candinas D. Systematic review of atraumatic splenic rupture. Br J Surg. 2009;96(10):1114–21.
DOI |
Google Scholar
17
-
Chakarian JC, Héron F, Belizna C, Hervé F, Maillochaud JH, Marie I, et al. Spontaneous hematoma of the spleen: trauma and/or medication? [Hématome spontané de la rate: traumatisme et/ou médicament?]. Presse Med. 2005;34(22):1717–8.
DOI |
Google Scholar
18
-
Weaver H, Kumar V, Spencer K, Maatouk M, Malik S. Spontaneous splenic rupture: a rare life-threatening condition diagnosed early and managed successfully. Am J Case Rep. 2013;14:13–5.
DOI |
Google Scholar
19
-
Stockinger Z, Grabo D, Benov A, Tien H, Seery J, Humphries A. Blunt abdominal trauma, splenectomy, and post-splenectomy vaccination. Mil Med. 2018;183(Suppl 2):98–100.
DOI |
Google Scholar
20
-
Buzelé R, Barbier L, Sauvanet A, Fantin B. Medical complications following splenectomy. J Visc Surg. 2016;153(4):277–86.
DOI |
Google Scholar
21
Most read articles by the same author(s)
-
Abdelillah El Bakouri,
Amal Hajri,
Abdelhak Ettaoussi,
Mounir Bouali,
Fatimazahra Bensardi,
Khalid El Hattabi,
Abdelaziz Fadil,
Acute Appendicitis Secondary to Enterobius Vermicularis Infestation: A Case Report , European Journal of Medical and Health Sciences: Vol. 2 No. 2 (2020) -
Wafaa Bennane,
Aziz Moussahim,
Youness Chakir,
Maha Soussi Abdallaoui,
Abdelaziz Fadil,
Rachid Aboutaeib,
Multiple Disseminated Hydatidosis with Rare Locations: Mediastinal, Pancreatic and Pelvic (Case Report) , European Journal of Medical and Health Sciences: Vol. 6 No. 2 (2024) -
Mounir Bouali,
Abdelhak Ettaoussi,
Abdelillah El Bakouri,
Fatimazahra Bensardi ,
Khalid El Hattabi,
Abdelaziz Fadil,
Intestinal Trichobezoard (Rapunzel Syndrome) Secondary to Wool Ingestion: A Case Report , European Journal of Medical and Health Sciences: Vol. 5 No. 1 (2023) -
Abdelillah El Bakouri,
Abdelhak Ettaoussi,
Mounir Bouali,
Fatimazahra Bensardi,
Khalid El Hattabi,
Abdelaziz Fadil,
Idiopathic Small Bowel Volvulus: A Case Report , European Journal of Medical and Health Sciences: Vol. 5 No. 3 (2023)